Skip to main content
Research publications

The Center for Research and Formation in Artificial Intelligence comprises interdisciplinary researchers that perform Responsible Research in diverse areas and publish their work in the most influential conferences and journals.

Our publications by year


Ego-exo4d: Understanding skilled human activity from first-and third-person perspectives

Kristen Grauman, Andrew Westbury, Lorenzo Torresani, Kris Kitani, Jitendra Malik, Triantafyllos Afouras, Kumar Ashutosh, Vijay Baiyya, Siddhant Bansal, Bikram Boote, Eugene Byrne, Zach Chavis, Joya Chen, Feng Cheng, Fu-Jen Chu, Sean Crane, Avijit Dasgupta, Jing Dong, Maria Escobar, Cristhian Forigua, Abrham Gebreselasie, Sanjay Haresh, Jing Huang, Md Mohaiminul Islam, Suyog Jain, Rawal Khirodkar, Devansh Kukreja, Kevin J Liang, Jia-Wei Liu, Sagnik Majumder, Yongsen Mao, Miguel Martin, Effrosyni Mavroudi, Tushar Nagarajan, Francesco Ragusa, Santhosh Kumar Ramakrishnan, Luigi Seminara, Arjun Somayazulu, Yale Song, Shan Su, Zihui Xue, Edward Zhang, Jinxu Zhang, Angela Castillo, Changan Chen, Xinzhu Fu, Ryosuke Furuta, Cristina Gonzalez, Prince Gupta, Jiabo Hu, Yifei Huang, Yiming Huang, Weslie Khoo, Anush Kumar, Robert Kuo, Sach Lakhavani, Miao Liu, Mi Luo, Zhengyi Luo, Brighid Meredith, Austin Miller, Oluwatumininu Oguntola, Xiaqing Pan, Penny Peng, Shraman Pramanick, Merey Ramazanova, Fiona Ryan, Wei Shan, Kiran Somasundaram, Chenan Song, Audrey Southerland, Masatoshi Tateno, Huiyu Wang, Yuchen Wang, Takuma Yagi, Mingfei Yan, Xitong Yang, Zecheng Yu, Shengxin Cindy Zha, Chen Zhao, Ziwei Zhao, Zhifan Zhu, Jeff Zhuo, Pablo Arbelaez, Gedas Bertasius, Dima Damen, Jakob Engel, Giovanni Maria Farinella, Antonino Furnari, Bernard Ghanem, Judy Hoffman, CV Jawahar, Richard Newcombe, Hyun Soo Park, James M Rehg, Yoichi Sato, Manolis Savva, Jianbo Shi, Mike Zheng Shou, Michael Wray

CVPR (2024)

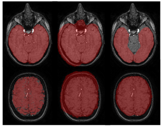
QU-BraTS: MICCAI BraTS 2020 Challenge on Quantifying Uncertainty in Brain Tumor Segmentation–Analysis of Ranking Metrics and Benchmarking Results

Raghav Mehta, Angelos Filos, Ujjwal Baid, Chiharu Sako, Richard McKinley, Michael Rebsamen, Katrin Dätwyler, Raphael Meier, Piotr Radojewski, Gowtham Krishnan Murugesan, Sahil Nalawade, Chandan Ganesh, Ben Wagner, Fang F Yu, Baowei Fei, Ananth J Madhuranthakam, Joseph A Maldjian, Laura Daza, Catalina Gómez, Pablo Arbeláez, Chengliang Dai, Shuo Wang, Hadrien Raynaud, Yuanhan Mo, Elsa Angelini, Yike Guo, Wenjia Bai, Subhashis Banerjee, Linmin Pei, Murat AK, Sarahi Rosas-González, Illyess Zemmoura, Clovis Tauber, Minh H Vu, Tufve Nyholm, Tommy Löfstedt, Laura Mora Ballestar, Veronica Vilaplana, Hugh McHugh, Gonzalo Maso Talou, Alan Wang, Jay Patel, Ken Chang, Katharina Hoebel, Mishka Gidwani, Nishanth Arun, Sharut Gupta, Mehak Aggarwal, Praveer Singh, Elizabeth R Gerstner, Jayashree Kalpathy-Cramer, Nicolas Boutry, Alexis Huard, Lasitha Vidyaratne, Md Monibor Rahman, Khan M Iftekharuddin, Joseph Chazalon, Elodie Puybareau, Guillaume Tochon, Jun Ma, Mariano Cabezas, Xavier Llado, Arnau Oliver, Liliana Valencia, Sergi Valverde, Mehdi Amian, Mohammadreza Soltaninejad, Andriy Myronenko, Ali Hatamizadeh, Xue Feng, Quan Dou, Nicholas Tustison, Craig Meyer, Nisarg A Shah, Sanjay Talbar, Marc-Andr Weber, Abhishek Mahajan, Andras Jakab, Roland Wiest, Hassan M Fathallah-Shaykh, Arash Nazeri, Mikhail Milchenko, Daniel Marcus, Aikaterini Kotrotsou, Rivka Colen, John Freymann, Justin Kirby, Christos Davatzikos, Bjoern Menze, Spyridon Bakas, Yarin Gal, Tal Arbel

arXiv